В Новгородской больнице прооперировали женщину с гигантской грыжей
70-летняя жительница Холма перенесла сложную операцию по удалению гигантской послеоперационной грыжи, которая занимала 41% брюшной полости.
27 апреля, 2026, 15:24 0
Источник:
Жительница города Холм (70 лет) уже сталкивалась с грыжами: ранее ей удаляли пупочную и послеоперационную грыжи, но спустя время образовалась новая, достигшая огромных размеров. В итоге женщина решилась на повторное вмешательство и обратилась в Новгородскую областную клиническую больницу.
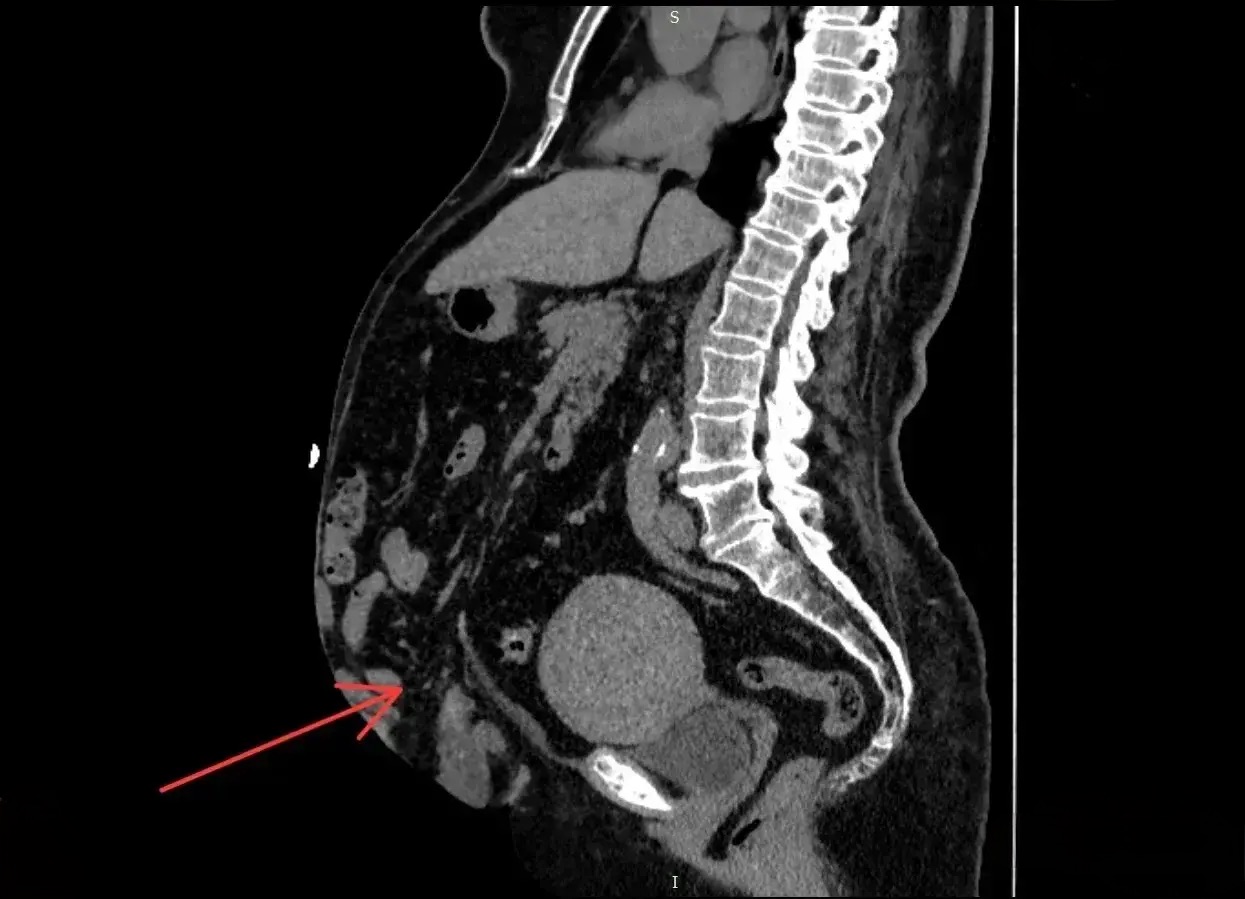
Компьютерная томография выявила, что объем грыжи составил 41% брюшной полости. Такое состояние в медицине называют потерей домена.
Как отметил заместитель главного врача по хирургической работе Вячеслав Смирнов, ежегодно в больнице оперируют до 40 пациентов с послеоперационными грыжами, но гигантские встречаются лишь у одного-двух. «Для хирурга это не самая простая операция, требуется опыт, отличное знание процедуры. Кроме того, нужна тщательная предоперационная подготовка, чтобы подобрать нужный вид оперативного вмешательства», — пояснил врач.
Медики приняли решение выполнить ненатяжную пластику с полной реконструкцией брюшной стенки — современный метод, позволяющий снизить риск осложнений и сократить время операции. «Пациентка перенесла все благополучно, выписана домой. Не прошло и месяца после операции, а она ведет активную жизнь», — подчеркнул Вячеслав Смирнов.
Сейчас женщина наблюдается у врача в Холме, ходит на перевязки. Кроме того, за ее состоянием хирург продолжает следить дистанционно через телемедицинские консультации в мессенджере МАХ.
Читайте также













